Before and After Dental Photos - Smile Makeovers Abington, PA
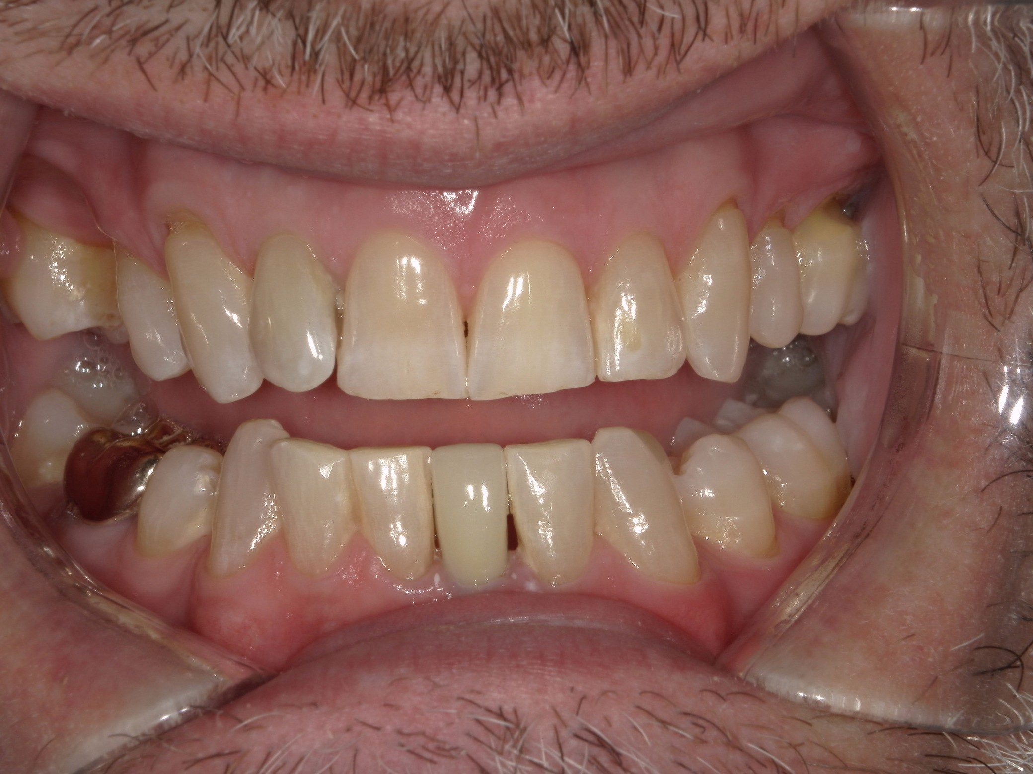
Porcelain veneers

Before

After
Invisalign

Before

After
Invisalign treatment

Before

After
Implant to replace missing teeth

Before

After
Perio (gum) therapy

Before

After
Spacing Invisalign

Before

After
Veneer

Before

After
Extreme Makeover Due to Trauma

Before

After
Extreme Makeover Due to Trauma

Before

After
Extreme Makeover Due to Trauma

Before

After
Same Day Full Mouth Implants

Before

After

Before

After
Same Day Full Mouth Implants

Before

After
Crown(s) (or Caps)

Before

After
Crown(s) (or Caps)

Before

After
Veneers

Before

After
Complex Full Mouth Restorative

Before

After
Flex Partials

Before

After
Chips and Decayed Teeth

Before

After
Chips and Decayed Teeth

Before

After
Chips and Decayed Teeth

Before

After
Simple Repairs

Before

After
Simple Repairs

Before

After
Chips and Blemishes

Before

After
Dental Implant

Before

After
Cancer Screening

Before

After
Same Day Chairside Veneers With Composite

Before

After
Same Day Chairside Veneers

Before

After
Cosmetic Bonding Repair

Before

After
Trauma- Extreme Makeover

Before

After
Closing Spaces in One Visit

Before

After

Before

After
More Cracks/Chips/Spaces …..Simple Repairs!

Before

After

Before

After

Before

After
That Minor, but Obvious “Ugly” Front Tooth Chip

Before

After
Cosmetic Gum Surgery

Before

After
Implant Restorative

Before

After
EXTREME Makeovers!

Before

After

Before

After

Before

After
Visit Our Office
Office Hours
- MON8:00 am - 4:00 pm
- TUE8:00 am - 8:00 pm
- WED8:00 am - 8:00 pm
- THU8:00 am - 1:30 pm
- FRI8:00 am - 1:30 pm
- SATClosed
- SUNClosed
